People suffering from kyphosis often experience back pain, stiffness, and a noticeable change in posture. The Center for the Functional Restoration of the Spine offers personalized treatment plans to improve spinal alignment and enhance overall function. We're committed to advancing research in spinal health, continuously seeking innovative approaches to kyphosis treatment.
Kyphosis Q & A
What is kyphosis?
What are the types of kyphosis?
How is kyphosis treated?
Would I need surgery for kyphosis?
What is kyphosis?
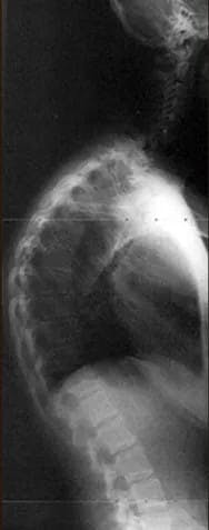
Kyphosis is an abnormal curvature of the spine. Your spine is supposed to curve in and out as it goes down your back to ensure your body is balanced, and everything lines up correctly. Curves that go outward are kyphotic; curves that go inward are lordotic. If you have kyphosis, it means your spine curves excessively outward. A normal kyphotic curve is somewhere between 20 and 50 degrees. Anything over 50 degrees would be kyphosis.
What are the types of kyphosis?
There are several forms of kyphosis which can affect both children and adults:
Postural kyphosis
Postural kyphosis is the most common kind of kyphosis. Poor posture – constantly slouching and letting your shoulders slump – can stretch the ligaments and change the way your vertebrae develop. It usually affects adolescents but doesn't typically cause problems.
Scheuermann's kyphosis
This form of kyphosis tends to affect teenage boys. It causes a sharp but short curvature in the middle of your upper spine that can result in aching back pain. It's common for young people with Scheuermann's kyphosis to have a mild degree of scoliosis as well.
Congenital kyphosis
Congenital kyphosis develops if the spinal column doesn't form correctly when a baby is in the womb. Vertebrae might fuse, or the bones fail to grow as they should. Congenital kyphosis can worsen as the child grows. Osteoporosis, which can cause vertebral compression fractures in your spine, is a common cause of kyphosis. Other conditions that can contribute to adult kyphosis include:
- Arthritis
- Infections
- Tumors
- Spina bifida
- Cerebral palsy
- Polio
- Marfan syndrome
- Trauma
If your kyphosis is mild, it might not cause any symptoms at all. Severe kyphosis may cause chronic pain and put pressure on your organs and nerves.
How is kyphosis treated?
Treatment for kyphosis depends on factors such as your age, physical health, the cause of your kyphosis, how severe it is, and the outlook if your condition goes untreated. The team at the Center for the Functional Restoration of the Spine initially uses non-surgical options like medication, physical therapy, and bracing. If these aren't successful, you may require an intervention to correct the curvature. If your kyphosis is due to vertebral compression fractures, then vertebroplasty and kyphoplasty are potential solutions. Both treatments involve injecting bone cement into the damaged vertebrae to reinforce the bone and stabilize your spine. With kyphoplasty, your provider at the Center for the Functional Restoration of the Spine first inflates a balloon within the bone to raise the height of the damaged vertebra.
Would I need surgery for kyphosis?
Surgical treatment is usually only necessary if you have severe kyphosis or non-surgical therapies that aren't providing sufficient symptom relief after a reasonable length of time. Surgery for kyphosis consists of curvature correction using spinal instrumentation, followed by fusion of the affected vertebrae. If you're experiencing problems with pain and stiffness due to kyphosis, call Center for the Functional Restoration of the Spine today, or book an appointment online.








